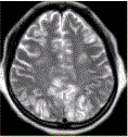
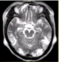
患者女,25岁。产后2d,头痛。产前妊高征,血压达200/130mmHg。MRI显示如下图。对MRI的描述错误的是A.病变主要发生于双...

作者: rantiku 人气: - 评论: 0
问题 患者女,25岁。产后2d,头痛。产前妊高征,血压达200/130mmHg。MRI显示如下图。 对MRI的描述错误的是
选项 A.病变主要发生于双侧颞顶枕叶皮层下弓形纤维 B.病变双侧对称 C.双侧额叶皮层下弓形纤维也可见长T2信号 D.病变于DWI和ADC上均呈高信号 E.病变于DWI和ADC上均呈高信号,提示细胞毒性水肿
答案 E
解析

猜你喜欢

发表评论
更多 网友评论0 条评论)
暂无评论

Copyright © 2012-2014 恰考网 Inc. 保留所有权利。 Powered by tikuer.com

页面耗时0.0597秒, 内存占用1.03 MB, Cache:redis,访问数据库20次