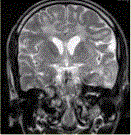
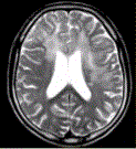
男性,16岁,头痛2年,加重1个月。MR检查如下图。有关该病的描述正确的是A.T2WI上为高信号,占位效应明显B.弥漫性肿瘤浸润,...

作者: rantiku 人气: - 评论: 0
问题 男性,16岁,头痛2年,加重1个月。MR检查如下图。 有关该病的描述正确的是
选项 A.T2WI上为高信号,占位效应明显 B.弥漫性肿瘤浸润,相应脑结构正常 C.与白质病变分界清晰 D.放化疗疗效好 E.广泛的MR表现及肿瘤浸润与组织学一致
答案 B
解析

猜你喜欢

发表评论
更多 网友评论0 条评论)
暂无评论

Copyright © 2012-2014 恰考网 Inc. 保留所有权利。 Powered by tikuer.com

页面耗时0.0342秒, 内存占用1.03 MB, Cache:redis,访问数据库19次