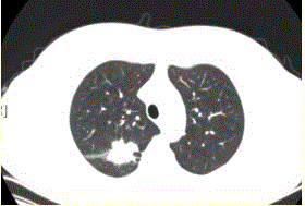
患者女,54岁,无症状,常规体检透视时发现右上肺阴影。既往无结核病史。体格检查阴性。CT结果如下图。局限性阻塞性肺气肿最常见的病因是A.支气管哮喘...

作者: rantiku 人气: - 评论: 0
问题 患者女,54岁,无症状,常规体检透视时发现右上肺阴影。既往无结核病史。体格检查阴性。CT结果如下图。 局限性阻塞性肺气肿最常见的病因是
选项 A.支气管哮喘 B.支气管扩张 C.慢性支气管炎 D.大叶性肺炎 E.支气管肺癌 F.支气管囊肿
答案 E
解析 E

猜你喜欢

发表评论
更多 网友评论0 条评论)
暂无评论

Copyright © 2012-2014 恰考网 Inc. 保留所有权利。 Powered by tikuer.com

页面耗时0.0379秒, 内存占用1.03 MB, Cache:redis,访问数据库19次