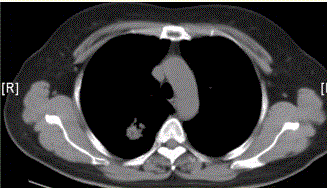
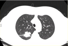
患者女,54岁,无症状,常规体检透视时发现右上肺阴影。既往无结核病史。体格检查阴性。CT结果如下图。易出现空洞的肺癌类型是A.鳞癌B.腺癌...

作者: rantiku 人气: - 评论: 0
问题 患者女,54岁,无症状,常规体检透视时发现右上肺阴影。既往无结核病史。体格检查阴性。CT结果如下图。 易出现空洞的肺癌类型是
选项 A.鳞癌 B.腺癌 C.未分化癌 D.肺泡癌 E.转移性肿瘤 F.肺类癌
答案 A
解析 A

猜你喜欢

发表评论
更多 网友评论0 条评论)
暂无评论

Copyright © 2012-2014 恰考网 Inc. 保留所有权利。 Powered by tikuer.com

页面耗时0.0344秒, 内存占用1.03 MB, Cache:redis,访问数据库19次