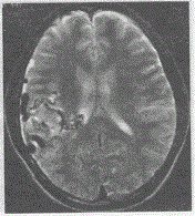
男,17岁,右颞部胀痛,MRI如图所示,最可能的诊断是A.脑炎B.血管畸形C.动脉瘤D.脑膜瘤E.脑出血

作者: rantiku 人气: - 评论: 0
问题 男,17岁,右颞部胀痛,MRI如图所示,最可能的诊断是
选项 A.脑炎 B.血管畸形 C.动脉瘤 D.脑膜瘤 E.脑出血
答案 B
解析

猜你喜欢

发表评论
更多 网友评论0 条评论)
暂无评论

Copyright © 2012-2014 恰考网 Inc. 保留所有权利。 Powered by tikuer.com

页面耗时0.0712秒, 内存占用1.03 MB, Cache:redis,访问数据库19次