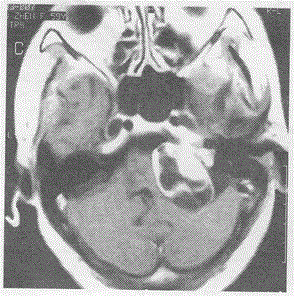
女59岁,左耳听力下降一年,增强头颅MRI示A.脑膜瘤B.海绵状血管瘤C.听神经瘤D.星形细胞瘤E.动脉瘤

作者: rantiku 人气: - 评论: 0
问题 女59岁,左耳听力下降一年,增强头颅MRI示
选项 A.脑膜瘤 B.海绵状血管瘤 C.听神经瘤 D.星形细胞瘤 E.动脉瘤
答案 C
解析

猜你喜欢

发表评论
更多 网友评论0 条评论)
暂无评论
错误啦!

错误信息

  • 消息: [程序异常] : MISCONF Redis is configured to save RDB snapshots, but it's currently unable to persist to disk. Commands that may modify the data set are disabled, because this instance is configured to report errors during writes if RDB snapshotting fails (stop-writes-on-bgsave-error option). Please check the Redis logs for details about the RDB error.
  • 文件: /twcms/kongphp/cache/cache_redis.class.php
  • 位置: 第 85 行
    <?php echo 'KongPHP, Road to Jane.'; ?>