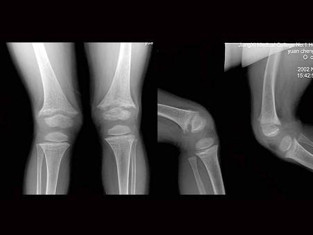
男,6岁,身材矮小,关节畸形,血钙磷化验异常,如图,最可能的诊断为?(?)A.坏血病B.肾性佝偻病C.粘多糖病D.克汀病E.脂质沉积病

作者: rantiku 人气: - 评论: 0
问题 男,6岁,身材矮小,关节畸形,血钙磷化验异常,如图,最可能的诊断为?(?)
选项 A.坏血病 B.肾性佝偻病 C.粘多糖病 D.克汀病 E.脂质沉积病
答案 B
解析

猜你喜欢

发表评论
更多 网友评论0 条评论)
暂无评论

Copyright © 2012-2014 恰考网 Inc. 保留所有权利。 Powered by tikuer.com

页面耗时0.0778秒, 内存占用1.02 MB, Cache:redis,访问数据库14次