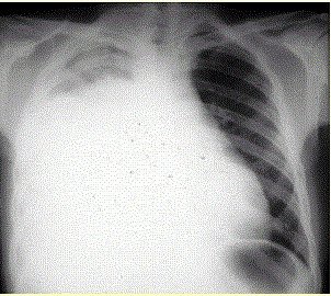
患者男,34岁。进行性胸闷、气促1个月余,伴有干咳、右胸隐痛以及消瘦,无咯血、发热、盗汗、潮热等。(提示 胸部X线检查如图所示。)该患者的初步诊断...

作者: rantiku 人气: - 评论: 0
问题 患者男,34岁。进行性胸闷、气促1个月余,伴有干咳、右胸隐痛以及消瘦,无咯血、发热、盗汗、潮热等。(提示 胸部X线检查如图所示。) 该患者的初步诊断是
选项 A.右侧大量胸腔积液 B.右侧气胸 C.右侧肺不张 D.右侧液气胸 E.右侧大叶性肺炎 F.肺血栓栓塞症 G.右侧气胸
答案 A
解析 A

猜你喜欢

发表评论
更多 网友评论0 条评论)
暂无评论

访问排行

Copyright © 2012-2014 恰考网 Inc. 保留所有权利。 Powered by tikuer.com

页面耗时0.0355秒, 内存占用1.03 MB, Cache:redis,访问数据库17次