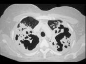
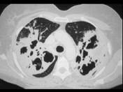
一养鸽女,48岁,发热,咳嗽,咳浓痰带血半月余,请结合CT,选出最可能的诊断 ( )A.原发性肺结核B.肺曲菌病C.肺癌D.间质性肺炎...

作者: rantiku 人气: - 评论: 0
问题 一养鸽女,48岁,发热,咳嗽,咳浓痰带血半月余,请结合CT,选出最可能的诊断 ( )
选项 A.原发性肺结核 B.肺曲菌病 C.肺癌 D.间质性肺炎 E.支气管扩张
答案 B
解析

猜你喜欢

发表评论
更多 网友评论0 条评论)
暂无评论

访问排行

Copyright © 2012-2014 恰考网 Inc. 保留所有权利。 Powered by tikuer.com

页面耗时0.0459秒, 内存占用1.03 MB, Cache:redis,访问数据库20次