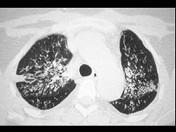
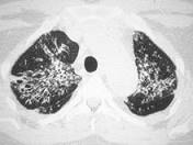
女,35岁,养鸽,咳嗽、咳痰,结合CT,考虑最可能的诊断是 ( )A.肺隐球菌病B.肺转移瘤C.支气管肺炎D.肺结核E.肺泡癌

作者: rantiku 人气: - 评论: 0
问题 女,35岁,养鸽,咳嗽、咳痰,结合CT,考虑最可能的诊断是 ( )
选项 A.肺隐球菌病 B.肺转移瘤 C.支气管肺炎 D.肺结核 E.肺泡癌
答案 A
解析

猜你喜欢

发表评论
更多 网友评论0 条评论)
暂无评论

访问排行

Copyright © 2012-2014 恰考网 Inc. 保留所有权利。 Powered by tikuer.com

页面耗时0.0408秒, 内存占用1.03 MB, Cache:redis,访问数据库18次