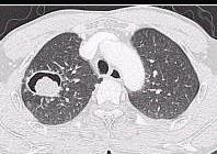
女性,32岁。1个月前诊断为系统性红斑狼疮,经激素治疗症状稍好转。近3天发热、咳嗽、咳少许粘痰。体检:肺呼吸音粗,无啰音。胸部CT示右下肺邻近胸膜处结节影...

作者: rantiku 人气: - 评论: 0
问题 女性,32岁。1个月前诊断为系统性红斑狼疮,经激素治疗症状稍好转。近3天发热、咳嗽、咳少许粘痰。体检:肺呼吸音粗,无啰音。胸部CT示右下肺邻近胸膜处结节影。结节影呈晕轮征(ha1osign)(如图),最可能的诊断是 ( )
选项 A.血源性肺脓肿 B.金黄色葡萄球菌肺炎 C.肺曲菌球 D.原发性支气管肺癌 E.Wegener肉芽肿
答案 C
解析

猜你喜欢

发表评论
更多 网友评论0 条评论)
暂无评论

访问排行

Copyright © 2012-2014 恰考网 Inc. 保留所有权利。 Powered by tikuer.com

页面耗时0.0495秒, 内存占用1.03 MB, Cache:redis,访问数据库20次