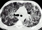
HIV患者咳嗽咳痰一月余,伴发热,结合影像图像,选择最可能的诊断 ( )A.机会性肺部感染B.卡氏肺孢子菌性肺炎C.卡波氏肉瘤D.肺淋巴瘤...

作者: rantiku 人气: - 评论: 0
问题 HIV患者咳嗽咳痰一月余,伴发热,结合影像图像,选择最可能的诊断 ( )
选项 A.机会性肺部感染 B.卡氏肺孢子菌性肺炎 C.卡波氏肉瘤 D.肺淋巴瘤 E.间质性肺炎
答案 B
解析

猜你喜欢

发表评论
更多 网友评论0 条评论)
暂无评论

访问排行

Copyright © 2012-2014 恰考网 Inc. 保留所有权利。 Powered by tikuer.com

页面耗时0.0341秒, 内存占用1.03 MB, Cache:redis,访问数据库19次