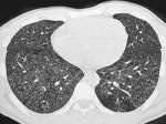
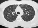
女,25岁,养鸽,咳嗽,咳痰,结合CT图像,最可能的诊断是 ( )A.肺泡癌B.肺结核C.肺隐球菌病D.支气管肺炎E.肺曲菌病
相关内容:养鸽,咳痰,图像,可能,诊断,肺泡,肺结核,肺隐,球菌,支气管,肺炎,曲菌
猜你喜欢
- A.宾语前置B.定语后置C.主谓倒装D.省略主语E.省略介词"目惑玄黄"属于(?)
- 狭窄场所(锅炉内、金属容器、地沟、管道内等)作业时,必须选用由安全隔离变压器供电的()手持式电动工具。A、Ⅰ类 B、Ⅱ类 C、Ⅲ类 D、Ⅳ类
- 患者男,65岁,因“多饮、多食、消瘦10余年,下肢水肿1个月”来诊。10年前渐出现烦渴、多饮,饮水量每日达4000?ml,伴尿量增多,血糖12.5?mm...
- 总胆固醇含量最高的脂蛋白是( )A.乳糜微粒B.极低密度脂蛋白C.中间密度脂蛋白D.低密度脂蛋白E.高密度脂蛋白
- Kennedy一类牙列缺损指A.后牙非游离缺失
B.前后牙均有缺失
C.单侧游离缺失
D.前牙缺失
E.双侧游离缺失
- 某公司副总,刘某,男,50岁,身高170Cm,体重89kg,血压135/88mmHg,空腹血糖6.8mmol/L,平时应酬较多经常喝酒,饮食喜咸喜甜,工作...
- 中毒性痢疾时腹泻的护理要点是A.记录大便次数B.观察粪便性状C.用药前作大便培养D.防止肛门和直肠坏死E.防止上行性尿路感染
- 下列民事法律关系中,适用《合同法》调整的是( )。A.甲、乙二人签订离婚协议
B.离婚双方达成如何扶养子女的协议
C.法院作出由小强的祖父作为小强监...
- 女性,42岁,近1年有阵发性夜间呼吸困难,1天前出现气短,咳粉红色泡沫痰,查体:心率120次/分,心尖区可闻及舒张期隆隆样杂音,心电图示:窦性心动过速。下...
- 建筑安装工程费用项目组成中,暂列金额主要用于( )。A.施工合同签订时尚未确定的材料设备采购费用B.施工图纸以外的零星项目所需的费用C.隐藏工程二...