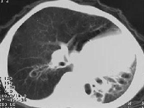
女,8岁,如图所示,最可能诊断为 ( )A.左下肺不张B.左下肺隔离症C.左肺发育不全D.左下肺支气管扩张E.左下肺支气管囊肿

作者: rantiku 人气: - 评论: 0
问题 女,8岁,如图所示,最可能诊断为 ( )
选项 A.左下肺不张 B.左下肺隔离症 C.左肺发育不全 D.左下肺支气管扩张 E.左下肺支气管囊肿
答案 C
解析

猜你喜欢

发表评论
更多 网友评论0 条评论)
暂无评论

访问排行

Copyright © 2012-2014 恰考网 Inc. 保留所有权利。 Powered by tikuer.com

页面耗时0.0424秒, 内存占用1.03 MB, Cache:redis,访问数据库20次