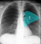
如图所示正常胸部X线影像图像上,该英文字母所代表的肺段为 ( )A.内基底段B.前基底段C.外基底段D.后基底段E.背段

作者: rantiku 人气: - 评论: 0
问题 如图所示正常胸部X线影像图像上,该英文字母所代表的肺段为 ( )
选项 A.内基底段 B.前基底段 C.外基底段 D.后基底段 E.背段
答案 E
解析

猜你喜欢

发表评论
更多 网友评论0 条评论)
暂无评论

访问排行

Copyright © 2012-2014 恰考网 Inc. 保留所有权利。 Powered by tikuer.com

页面耗时0.0548秒, 内存占用1.03 MB, Cache:redis,访问数据库20次