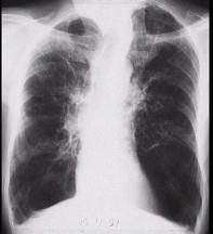
男,65岁,呼吸困难伴胸闷,胸片结果如图,最可能的诊断为 ( )A.气胸B.肺结核C.慢性阻塞性肺疾病D.肺部感染E.支气管扩张

作者: rantiku 人气: - 评论: 0
问题 男,65岁,呼吸困难伴胸闷,胸片结果如图,最可能的诊断为 ( )
选项 A.气胸 B.肺结核 C.慢性阻塞性肺疾病 D.肺部感染 E.支气管扩张
答案 C
解析

猜你喜欢

发表评论
更多 网友评论0 条评论)
暂无评论

访问排行

Copyright © 2012-2014 恰考网 Inc. 保留所有权利。 Powered by tikuer.com

页面耗时0.0392秒, 内存占用1.03 MB, Cache:redis,访问数据库19次