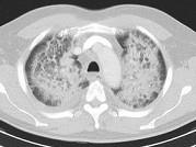
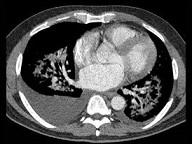
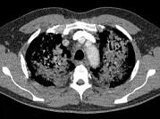
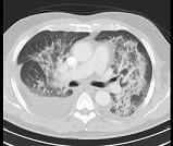
男,51岁,呼吸困难,心悸,咳大量粉红色泡沫痰,结合CT,最可能的诊断是 ( )A.肺泡性肺水肿B.间质性肺水肿C.肺泡癌D....

作者: rantiku 人气: - 评论: 0
问题 男,51岁,呼吸困难,心悸,咳大量粉红色泡沫痰,结合CT,最可能的诊断是 ( )
选项 A.肺泡性肺水肿 B.间质性肺水肿 C.肺泡癌 D.肺泡蛋白沉积症 E.肺结核
答案 A
解析

猜你喜欢

发表评论
更多 网友评论0 条评论)
暂无评论

访问排行

Copyright © 2012-2014 恰考网 Inc. 保留所有权利。 Powered by tikuer.com

页面耗时0.0628秒, 内存占用1.03 MB, Cache:redis,访问数据库20次