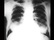
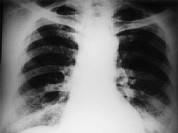
女,34岁,新月体肾炎患者,最近咳嗽咯血,第一次行胸片检查考虑为双下肺感染,抗感染治疗后无明显好转,症状加重,4天后复查并行CT检查如图,应考虑为 ( )...

作者: rantiku 人气: - 评论: 0
问题 女,34岁,新月体肾炎患者,最近咳嗽咯血,第一次行胸片检查考虑为双下肺感染,抗感染治疗后无明显好转,症状加重,4天后复查并行CT检查如图,应考虑为 ( )
选项 A.肺泡蛋白沉着症 B.肺含铁血黄素沉着症 C.双下肺肺炎 D.肺出血肾炎综合征 E.韦格肉芽肿
答案 D
解析

猜你喜欢

发表评论
更多 网友评论0 条评论)
暂无评论

访问排行

Copyright © 2012-2014 恰考网 Inc. 保留所有权利。 Powered by tikuer.com

页面耗时0.0393秒, 内存占用1.03 MB, Cache:redis,访问数据库19次