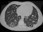
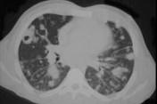
男,32岁,咳嗽,咳脓痰伴发热、胸痛一月余,抗感染治疗不见好转,PPD(-),结合CT图像,最可能的诊断是 ( )A.肺炎B.肺结核C.肺...

作者: rantiku 人气: - 评论: 0
问题 男,32岁,咳嗽,咳脓痰伴发热、胸痛一月余,抗感染治疗不见好转,PPD(-),结合CT图像,最可能的诊断是 ( )
选项 A.肺炎 B.肺结核 C.肺脓肿 D.肺癌 E.肺放射菌病
答案 E
解析

猜你喜欢

发表评论
更多 网友评论0 条评论)
暂无评论

访问排行

Copyright © 2012-2014 恰考网 Inc. 保留所有权利。 Powered by tikuer.com

页面耗时0.0344秒, 内存占用1.03 MB, Cache:redis,访问数据库19次