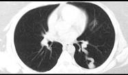
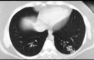
30岁,偶有干咳,结合影像图像,选择最可能的诊断 ( )A.左下肺感染B.左下肺结核C.左下肺错构瘤D.左下肺炎性假瘤E.左下肺动...

作者: rantiku 人气: - 评论: 0
问题 30岁,偶有干咳,结合影像图像,选择最可能的诊断 ( )
选项 A.左下肺感染 B.左下肺结核 C.左下肺错构瘤 D.左下肺炎性假瘤 E.左下肺动静脉畸形
答案 E
解析

猜你喜欢

发表评论
更多 网友评论0 条评论)
暂无评论

访问排行

Copyright © 2012-2014 恰考网 Inc. 保留所有权利。 Powered by tikuer.com

页面耗时0.0393秒, 内存占用1.03 MB, Cache:redis,访问数据库19次