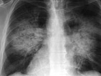
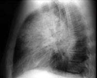
患者输液过程中突发胸闷,气急,咳痰,胸部正侧位片如图,最可能的诊断为 ( )A.硅沉着病合并感染B.中央型肺水肿C.真菌感染D.间质性...

作者: rantiku 人气: - 评论: 0
问题 患者输液过程中突发胸闷,气急,咳痰,胸部正侧位片如图,最可能的诊断为 ( )
选项 A.硅沉着病合并感染 B.中央型肺水肿 C.真菌感染 D.间质性肺水肿 E.腺病毒肺炎
答案 B
解析

猜你喜欢

发表评论
更多 网友评论0 条评论)
暂无评论

访问排行

Copyright © 2012-2014 恰考网 Inc. 保留所有权利。 Powered by tikuer.com

页面耗时0.0526秒, 内存占用1.03 MB, Cache:redis,访问数据库19次