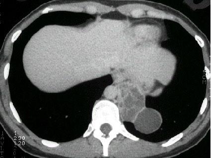
男,18岁,无明显症状, CT检查如图。最可能的诊断为 ( )A.左下肺膈疝B.左下肺肺隔离症C.左下肺癌D.神经纤维瘤E.左下肺肺炎

作者: rantiku 人气: - 评论: 0
问题 男,18岁,无明显症状, CT检查如图。最可能的诊断为 ( )
选项 A.左下肺膈疝 B.左下肺肺隔离症 C.左下肺癌 D.神经纤维瘤 E.左下肺肺炎
答案 B
解析

猜你喜欢

发表评论
更多 网友评论0 条评论)
暂无评论
错误啦!

错误信息

  • 消息: [程序异常] : MISCONF Redis is configured to save RDB snapshots, but it's currently unable to persist to disk. Commands that may modify the data set are disabled, because this instance is configured to report errors during writes if RDB snapshotting fails (stop-writes-on-bgsave-error option). Please check the Redis logs for details about the RDB error.
  • 文件: /twcms/kongphp/cache/cache_redis.class.php
  • 位置: 第 85 行
    <?php echo 'KongPHP, Road to Jane.'; ?>