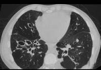
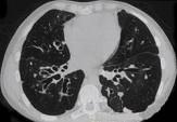
男,18岁,咳嗽,咳痰,咯血半月余,CT如图.选出最可能的诊断 ( )A.过敏性肺炎B.支气管扩张C.原发性肺结核D.大叶性肺炎E.肺癌

作者: rantiku 人气: - 评论: 0
问题 男,18岁,咳嗽,咳痰,咯血半月余,CT如图.选出最可能的诊断 ( )
选项 A.过敏性肺炎 B.支气管扩张 C.原发性肺结核 D.大叶性肺炎 E.肺癌
答案 B
解析

猜你喜欢

发表评论
更多 网友评论0 条评论)
暂无评论

访问排行

Copyright © 2012-2014 恰考网 Inc. 保留所有权利。 Powered by tikuer.com

页面耗时0.0402秒, 内存占用1.03 MB, Cache:redis,访问数据库20次