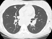
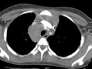
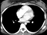
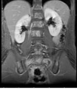
7岁,男,发热、消瘦,数月前触及颈部淋巴结肿大,CT和MR检查如图,请选择最可能的诊断 ( )A.淋巴瘤B.结节病C.淋巴结核...

作者: rantiku 人气: - 评论: 0
问题 7岁,男,发热、消瘦,数月前触及颈部淋巴结肿大,CT和MR检查如图,请选择最可能的诊断 ( )
选项 A.淋巴瘤 B.结节病 C.淋巴结核 D.转移性淋巴肿大 E.胸腺瘤
答案 A
解析

猜你喜欢

发表评论
更多 网友评论0 条评论)
暂无评论

访问排行

Copyright © 2012-2014 恰考网 Inc. 保留所有权利。 Powered by tikuer.com

页面耗时0.0461秒, 内存占用1.03 MB, Cache:redis,访问数据库20次