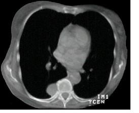
男,67岁,无明显症状,胸片检查发现病变,进一步行CT检查如图,其最可能的诊断为 ( )A.右下肺炎性假瘤B.右下肺周围型肺癌C.右下肺错...

作者: rantiku 人气: - 评论: 0
问题 男,67岁,无明显症状,胸片检查发现病变,进一步行CT检查如图,其最可能的诊断为 ( )
选项 A.右下肺炎性假瘤 B.右下肺周围型肺癌 C.右下肺错构瘤 D.后纵隔神经源性肿瘤 E.右侧胸膜间壁瘤
答案 D
解析

猜你喜欢

发表评论
更多 网友评论0 条评论)
暂无评论

访问排行

Copyright © 2012-2014 恰考网 Inc. 保留所有权利。 Powered by tikuer.com

页面耗时0.0964秒, 内存占用1.03 MB, Cache:redis,访问数据库20次