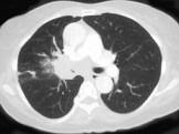
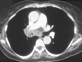
男,56岁,咳嗽,咯血1月余,有吸烟史30余年,结合CT检查图,选出最可能的诊断 ( )A.肺结核B.肺炎C.结节病D.肺错构瘤E...

作者: rantiku 人气: - 评论: 0
问题 男,56岁,咳嗽,咯血1月余,有吸烟史30余年,结合CT检查图,选出最可能的诊断 ( )
选项 A.肺结核 B.肺炎 C.结节病 D.肺错构瘤 E.中央型肺癌
答案 E
解析

猜你喜欢

发表评论
更多 网友评论0 条评论)
暂无评论

访问排行

Copyright © 2012-2014 恰考网 Inc. 保留所有权利。 Powered by tikuer.com

页面耗时0.0691秒, 内存占用1.03 MB, Cache:redis,访问数据库18次