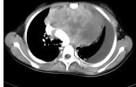
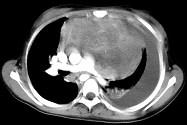
患者胸痛胸闷,CT如图,最可能的诊断为 ( )A.良性胸腺瘤B.恶性畸胎瘤C.侵袭性胸腺瘤D.表皮样囊肿E.淋巴瘤

作者: rantiku 人气: - 评论: 0
问题 患者胸痛胸闷,CT如图,最可能的诊断为 ( )
选项 A.良性胸腺瘤 B.恶性畸胎瘤 C.侵袭性胸腺瘤 D.表皮样囊肿 E.淋巴瘤
答案 D
解析

猜你喜欢

发表评论
更多 网友评论0 条评论)
暂无评论

访问排行

Copyright © 2012-2014 恰考网 Inc. 保留所有权利。 Powered by tikuer.com

页面耗时0.0331秒, 内存占用1.03 MB, Cache:redis,访问数据库19次