男,68岁,呼吸困难、轻度吞咽困难3月余,请结合CT,选择最可能的诊断 ( )A.气管乳头状瘤B.气管脓肿C.气管炎性假瘤D....

作者: rantiku 人气: - 评论: 0
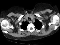
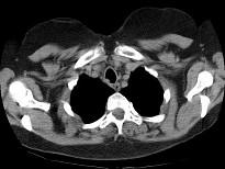
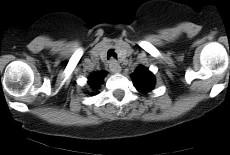
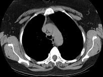
问题 男,68岁,呼吸困难、轻度吞咽困难3月余,请结合CT,选择最可能的诊断 ( )
选项 A.气管乳头状瘤 B.气管脓肿 C.气管炎性假瘤 D.食管癌 E.甲状腺癌
答案 A
解析

猜你喜欢

发表评论
更多 网友评论0 条评论)
暂无评论

访问排行

Copyright © 2012-2014 恰考网 Inc. 保留所有权利。 Powered by tikuer.com

页面耗时0.0433秒, 内存占用1.03 MB, Cache:redis,访问数据库18次