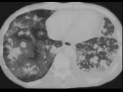
女,26岁,全身不适,发热,咳嗽,咯血,有吸毒史,结合CT图像,最可能的诊断是 ( )A.卡波济肉瘤B.肺癌C.肺转移癌D.肺结节病 ...

作者: rantiku 人气: - 评论: 0
问题 女,26岁,全身不适,发热,咳嗽,咯血,有吸毒史,结合CT图像,最可能的诊断是 ( )
选项 A.卡波济肉瘤 B.肺癌 C.肺转移癌 D.肺结节病 E.肺结核
答案 A
解析

猜你喜欢

发表评论
更多 网友评论0 条评论)
暂无评论

访问排行

Copyright © 2012-2014 恰考网 Inc. 保留所有权利。 Powered by tikuer.com

页面耗时0.0391秒, 内存占用1.03 MB, Cache:redis,访问数据库13次