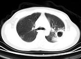
男,25岁,咳嗽,咯血近1周,午后低热1个月余,CT检查如图,最可能的诊断为 ( )A.畸胎瘤B.双上肺结核,左上肺结核空洞形成C.液气胸...

作者: rantiku 人气: - 评论: 0
问题 男,25岁,咳嗽,咯血近1周,午后低热1个月余,CT检查如图,最可能的诊断为 ( )
选项 A.畸胎瘤 B.双上肺结核,左上肺结核空洞形成 C.液气胸 D.肺大疱 E.肺炎
答案 B
解析

猜你喜欢

发表评论
更多 网友评论0 条评论)
暂无评论

访问排行

Copyright © 2012-2014 恰考网 Inc. 保留所有权利。 Powered by tikuer.com

页面耗时0.0648秒, 内存占用1.03 MB, Cache:redis,访问数据库19次