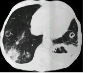
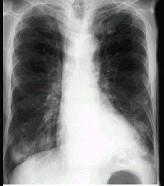
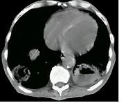
女,52岁,曾患有鼻窦炎,最近发现咳嗽发热,影像学检查如图,最可能的诊断为 ( )A.多发性肺脓肿B.浸润型肺结核并空洞形成C.韦格肉...

作者: rantiku 人气: - 评论: 0
问题 女,52岁,曾患有鼻窦炎,最近发现咳嗽发热,影像学检查如图,最可能的诊断为 ( )
选项 A.多发性肺脓肿 B.浸润型肺结核并空洞形成 C.韦格肉芽肿 D.结节病 E.肺转移瘤
答案 C
解析

猜你喜欢

发表评论
更多 网友评论0 条评论)
暂无评论

访问排行

Copyright © 2012-2014 恰考网 Inc. 保留所有权利。 Powered by tikuer.com

页面耗时0.0298秒, 内存占用1.03 MB, Cache:redis,访问数据库19次