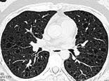
女,34岁,气喘伴呼吸困难1个月并加重,CT如图,最可能的诊断为 ( )A.多发性肺囊肿B.肺淋巴管肌瘤病C.小叶性肺气肿D.金葡菌感染并...

作者: rantiku 人气: - 评论: 0
问题 女,34岁,气喘伴呼吸困难1个月并加重,CT如图,最可能的诊断为 ( )
选项 A.多发性肺囊肿 B.肺淋巴管肌瘤病 C.小叶性肺气肿 D.金葡菌感染并肺气囊形成 E.支气管扩张
答案 B
解析

猜你喜欢

发表评论
更多 网友评论0 条评论)
暂无评论

访问排行

Copyright © 2012-2014 恰考网 Inc. 保留所有权利。 Powered by tikuer.com

页面耗时0.0330秒, 内存占用1.03 MB, Cache:redis,访问数据库19次