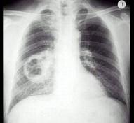
男,54岁,咳嗽,伴胸痛2周,午后有低热,出汗较以前增多,胸片如图,最可能的诊断是 ( )A.肺脓肿B.结核空洞C.韦格肉芽肿D.肺癌...

作者: rantiku 人气: - 评论: 0
问题 男,54岁,咳嗽,伴胸痛2周,午后有低热,出汗较以前增多,胸片如图,最可能的诊断是 ( )
选项 A.肺脓肿 B.结核空洞 C.韦格肉芽肿 D.肺癌 E.肺大疱
答案 D
解析

猜你喜欢

发表评论
更多 网友评论0 条评论)
暂无评论

访问排行

Copyright © 2012-2014 恰考网 Inc. 保留所有权利。 Powered by tikuer.com

页面耗时0.0349秒, 内存占用1.03 MB, Cache:redis,访问数据库19次