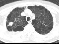
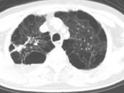
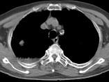
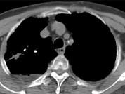
男,76岁,气喘数年,胸痛1个月余,结合影像图像,选择最可能的诊断 ( )A.右上肺结核球B.肺间质纤维化C.右上肺瘢痕癌D....

作者: rantiku 人气: - 评论: 0
问题 男,76岁,气喘数年,胸痛1个月余,结合影像图像,选择最可能的诊断 ( )
选项 A.右上肺结核球 B.肺间质纤维化 C.右上肺瘢痕癌 D.右上肺错构瘤 E.右上肺肉瘤
答案 C
解析

猜你喜欢

发表评论
更多 网友评论0 条评论)
暂无评论

访问排行

Copyright © 2012-2014 恰考网 Inc. 保留所有权利。 Powered by tikuer.com

页面耗时0.0412秒, 内存占用1.03 MB, Cache:redis,访问数据库20次