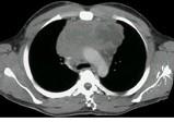
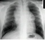
男,17岁,发现颈部肿块1个月,胸片检查、CT检查如图,最可能的诊断为 ( )A.胸腺瘤B.畸胎瘤C.淋巴瘤D.胸内甲状腺瘤E.囊...

作者: rantiku 人气: - 评论: 0
问题 男,17岁,发现颈部肿块1个月,胸片检查、CT检查如图,最可能的诊断为 ( )
选项 A.胸腺瘤 B.畸胎瘤 C.淋巴瘤 D.胸内甲状腺瘤 E.囊状淋巴管瘤
答案 C
解析

猜你喜欢

发表评论
更多 网友评论0 条评论)
暂无评论

访问排行

Copyright © 2012-2014 恰考网 Inc. 保留所有权利。 Powered by tikuer.com

页面耗时0.0329秒, 内存占用1.03 MB, Cache:redis,访问数据库19次