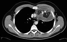
20岁,男,左胸痛伴压迫感,咳嗽1个月,请结合CT,检查选出最可能的诊断 ( )A.胸腺瘤B.纵隔血肿C.畸胎瘤D.脂肪瘤E.淋巴瘤

作者: rantiku 人气: - 评论: 0
问题 20岁,男,左胸痛伴压迫感,咳嗽1个月,请结合CT,检查选出最可能的诊断 ( )
选项 A.胸腺瘤 B.纵隔血肿 C.畸胎瘤 D.脂肪瘤 E.淋巴瘤
答案 C
解析

猜你喜欢

发表评论
更多 网友评论0 条评论)
暂无评论

访问排行

Copyright © 2012-2014 恰考网 Inc. 保留所有权利。 Powered by tikuer.com

页面耗时0.0463秒, 内存占用1.03 MB, Cache:redis,访问数据库19次