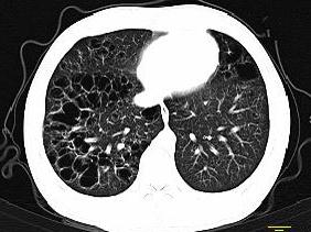
男,3岁,活动气喘,查体压头颅骨有乒乓球感,肝脾大,根据影像学检查图像,最可能的诊断为 ( )A.肺间质纤维化B.组织细胞增生症C.先天性...

作者: rantiku 人气: - 评论: 0
问题 男,3岁,活动气喘,查体压头颅骨有乒乓球感,肝脾大,根据影像学检查图像,最可能的诊断为 ( )
选项 A.肺间质纤维化 B.组织细胞增生症 C.先天性支气管扩张 D.先天性肺囊肿 E.肺发育不良
答案 B
解析

猜你喜欢

发表评论
更多 网友评论0 条评论)
暂无评论

访问排行

Copyright © 2012-2014 恰考网 Inc. 保留所有权利。 Powered by tikuer.com

页面耗时0.0451秒, 内存占用1.03 MB, Cache:redis,访问数据库13次