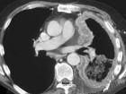
男,68岁,胸痛,呼吸困难,咳嗽1个月余,请结合影像学检查,选出最可能的诊断 ( )A.间皮瘤B.肺癌C.肺转移瘤D.淋巴瘤E.肺结核

作者: rantiku 人气: - 评论: 0
问题 男,68岁,胸痛,呼吸困难,咳嗽1个月余,请结合影像学检查,选出最可能的诊断 ( )
选项 A.间皮瘤 B.肺癌 C.肺转移瘤 D.淋巴瘤 E.肺结核
答案 A
解析

猜你喜欢

发表评论
更多 网友评论0 条评论)
暂无评论

访问排行

Copyright © 2012-2014 恰考网 Inc. 保留所有权利。 Powered by tikuer.com

页面耗时0.0538秒, 内存占用1.03 MB, Cache:redis,访问数据库20次