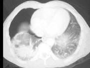
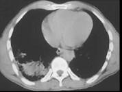
男,31岁,车祸后10小时余,请结合影像学检查,选出最可能的诊断 ( )A.肺癌B.肺结核C.气胸伴肺挫伤D.硅沉着病E.大叶性肺炎

作者: rantiku 人气: - 评论: 0
问题 男,31岁,车祸后10小时余,请结合影像学检查,选出最可能的诊断 ( )
选项 A.肺癌 B.肺结核 C.气胸伴肺挫伤 D.硅沉着病 E.大叶性肺炎
答案 C
解析

猜你喜欢

发表评论
更多 网友评论0 条评论)
暂无评论

访问排行

Copyright © 2012-2014 恰考网 Inc. 保留所有权利。 Powered by tikuer.com

页面耗时0.0441秒, 内存占用1.03 MB, Cache:redis,访问数据库17次