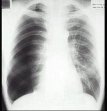
男性,34岁,突感胸部不适,X线检查如图最可能的诊断是 ( )A.肺部炎症B.胸腔积液C.肺结核D.正常心、肺、膈E.气胸

作者: rantiku 人气: - 评论: 0
问题 男性,34岁,突感胸部不适,X线检查如图最可能的诊断是 ( )
选项 A.肺部炎症 B.胸腔积液 C.肺结核 D.正常心、肺、膈 E.气胸
答案 E
解析

猜你喜欢

发表评论
更多 网友评论0 条评论)
暂无评论

访问排行

Copyright © 2012-2014 恰考网 Inc. 保留所有权利。 Powered by tikuer.com

页面耗时0.0384秒, 内存占用1.03 MB, Cache:redis,访问数据库20次