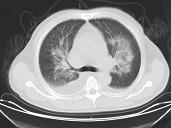
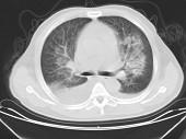
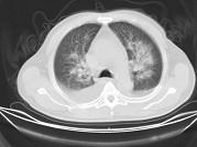
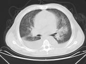
男,32岁,CT图像如图,最可能的诊断为 ( )A.肺水肿并双侧胸腔积液B.周围型肺癌C.肺动静脉瘘D.肺错构瘤E.炎性假瘤

作者: rantiku 人气: - 评论: 0
问题 男,32岁,CT图像如图,最可能的诊断为 ( )
选项 A.肺水肿并双侧胸腔积液 B.周围型肺癌 C.肺动静脉瘘 D.肺错构瘤 E.炎性假瘤
答案 A
解析

猜你喜欢

发表评论
更多 网友评论0 条评论)
暂无评论

访问排行

Copyright © 2012-2014 恰考网 Inc. 保留所有权利。 Powered by tikuer.com

页面耗时0.0481秒, 内存占用1.03 MB, Cache:redis,访问数据库15次