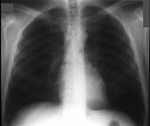
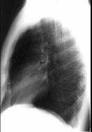
在哮喘急性发作的病程中患者出现颈部皮下气肿,胸片见图。说明此患者有下列哪一种并发症存在 ( )A.气胸B.纵隔气肿C.间质性肺气肿D....

作者: rantiku 人气: - 评论: 0
问题 在哮喘急性发作的病程中患者出现颈部皮下气肿,胸片见图。说明此患者有下列哪一种并发症存在 ( )
选项 A.气胸 B.纵隔气肿 C.间质性肺气肿 D.肺囊肿 E.肺大疱
答案 B
解析

猜你喜欢

发表评论
更多 网友评论0 条评论)
暂无评论

访问排行

Copyright © 2012-2014 恰考网 Inc. 保留所有权利。 Powered by tikuer.com

页面耗时0.0399秒, 内存占用1.03 MB, Cache:redis,访问数据库20次