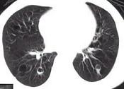
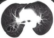
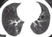
女,23岁,咳嗽咳痰反复发作,根据CT图像,应考虑为 ( )A.支气管扩张并感染B.多发肺气囊肿C.多发性肺囊肿并感染D.多发性肺...

作者: rantiku 人气: - 评论: 0
问题 女,23岁,咳嗽咳痰反复发作,根据CT图像,应考虑为 ( )
选项 A.支气管扩张并感染 B.多发肺气囊肿 C.多发性肺囊肿并感染 D.多发性肺脓肿 E.大叶性肺炎
答案 C
解析

猜你喜欢

发表评论
更多 网友评论0 条评论)
暂无评论

访问排行

Copyright © 2012-2014 恰考网 Inc. 保留所有权利。 Powered by tikuer.com

页面耗时0.0566秒, 内存占用1.03 MB, Cache:redis,访问数据库19次