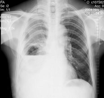
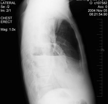
男性患者,64岁,咳嗽高热多日,无痰中带血,X线检查如图,最合理的诊断是 ( )A.右侧胸腔积液B.右侧胸腔积液并肺脓肿C.右肺炎D....

作者: rantiku 人气: - 评论: 0
问题 男性患者,64岁,咳嗽高热多日,无痰中带血,X线检查如图,最合理的诊断是 ( )
选项 A.右侧胸腔积液 B.右侧胸腔积液并肺脓肿 C.右肺炎 D.右肺不张 E.右支气管扩张
答案 B
解析

猜你喜欢

发表评论
更多 网友评论0 条评论)
暂无评论

访问排行

Copyright © 2012-2014 恰考网 Inc. 保留所有权利。 Powered by tikuer.com

页面耗时0.0469秒, 内存占用1.03 MB, Cache:redis,访问数据库19次