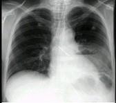
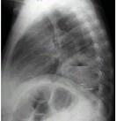
女,36岁,发热,胸痛咳脓痰十余天,胸部正侧位如图,最可能的诊断为 ( )A.左下肺周围型肺癌并空洞形成B.左下肺脓肿C.左下肺空洞型肺结...

作者: rantiku 人气: - 评论: 0
问题 女,36岁,发热,胸痛咳脓痰十余天,胸部正侧位如图,最可能的诊断为 ( )
选项 A.左下肺周围型肺癌并空洞形成 B.左下肺脓肿 C.左下肺空洞型肺结核 D.左侧包裹性液气胸 E.急性胃扩张
答案 B
解析

猜你喜欢

发表评论
更多 网友评论0 条评论)
暂无评论

访问排行

Copyright © 2012-2014 恰考网 Inc. 保留所有权利。 Powered by tikuer.com

页面耗时0.0403秒, 内存占用1.03 MB, Cache:redis,访问数据库19次