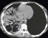
女,24岁,咳嗽咳痰伴高热3天,如图所示,最可能的诊断为 ( )A.右下肺干酪性肺炎B.右下肺大叶性肺炎C.右中肺大叶性肺炎D.右中叶肺脓...

作者: rantiku 人气: - 评论: 0
问题 女,24岁,咳嗽咳痰伴高热3天,如图所示,最可能的诊断为 ( )
选项 A.右下肺干酪性肺炎 B.右下肺大叶性肺炎 C.右中肺大叶性肺炎 D.右中叶肺脓肿 E.右下肺不张
答案 B
解析

猜你喜欢

发表评论
更多 网友评论0 条评论)
暂无评论

访问排行

Copyright © 2012-2014 恰考网 Inc. 保留所有权利。 Powered by tikuer.com

页面耗时0.0821秒, 内存占用1.03 MB, Cache:redis,访问数据库18次