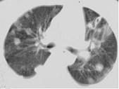
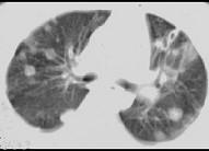
女,32岁,鼻梁双颊部出现红斑伴发热咳嗽2周,肘腕关节游走性疼痛,请结合CT,选择最可能的诊断为 ( )A.肺部感染B.结节病C.肺类风湿...

作者: rantiku 人气: - 评论: 0
问题 女,32岁,鼻梁双颊部出现红斑伴发热咳嗽2周,肘腕关节游走性疼痛,请结合CT,选择最可能的诊断为 ( )
选项 A.肺部感染 B.结节病 C.肺类风湿病 D.SLE肺部浸润 E.韦格肉芽肿
答案 D
解析

猜你喜欢

发表评论
更多 网友评论0 条评论)
暂无评论

访问排行

Copyright © 2012-2014 恰考网 Inc. 保留所有权利。 Powered by tikuer.com

页面耗时0.0519秒, 内存占用1.03 MB, Cache:redis,访问数据库20次