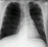
男性,62岁。吸烟史40余年,近10年来气急进行性加重。胸部X线检查见图。关于此诊断的X线征像下列哪一条是不需要的 ( )A.肋间隙增宽B.膈肌位...

作者: rantiku 人气: - 评论: 0
问题 男性,62岁。吸烟史40余年,近10年来气急进行性加重。胸部X线检查见图。关于此诊断的X线征像下列哪一条是不需要的 ( )
选项 A.肋间隙增宽 B.膈肌位置降低 C.膈穹窿变平坦 D.肺野透亮度降低 E.肺大疱
答案 D
解析

猜你喜欢

发表评论
更多 网友评论0 条评论)
暂无评论

访问排行

Copyright © 2012-2014 恰考网 Inc. 保留所有权利。 Powered by tikuer.com

页面耗时0.0361秒, 内存占用1.03 MB, Cache:redis,访问数据库18次