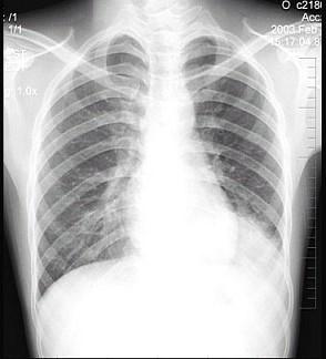
男性患者,19岁,咳嗽、发热1周,X线检查如图,最可能的诊断是 ( )A.左下肺不张B.左侧胸膜肥厚C.左下肺炎症D.左侧胸腔积液E....

作者: rantiku 人气: - 评论: 0
问题 男性患者,19岁,咳嗽、发热1周,X线检查如图,最可能的诊断是 ( )
选项 A.左下肺不张 B.左侧胸膜肥厚 C.左下肺炎症 D.左侧胸腔积液 E.左下支气管扩张
答案 C
解析

猜你喜欢

发表评论
更多 网友评论0 条评论)
暂无评论

访问排行

Copyright © 2012-2014 恰考网 Inc. 保留所有权利。 Powered by tikuer.com

页面耗时0.0361秒, 内存占用1.03 MB, Cache:redis,访问数据库19次