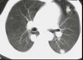
男,40岁,化脓性胆管炎手术后3天出现高热,伴胸痛,咳嗽,CT如图,最可能的诊断为 ( )A.肺转移癌B.金葡菌肺炎C.肺淋巴瘤D.肺多发...

作者: rantiku 人气: - 评论: 0
问题 男,40岁,化脓性胆管炎手术后3天出现高热,伴胸痛,咳嗽,CT如图,最可能的诊断为 ( )
选项 A.肺转移癌 B.金葡菌肺炎 C.肺淋巴瘤 D.肺多发性脓肿 E.肺组织胞浆菌病
答案 D
解析

猜你喜欢

发表评论
更多 网友评论0 条评论)
暂无评论

访问排行

Copyright © 2012-2014 恰考网 Inc. 保留所有权利。 Powered by tikuer.com

页面耗时0.0460秒, 内存占用1.03 MB, Cache:redis,访问数据库20次